בתוך 4 ימים: 4 ילדים הובהלו לאסותא לאחר שבלעו עצמים זרים
17.05.23 / 15:06
אל בית החולים הציבורי אסותא אשדוד פונו בארבעת הימים האחרונים ארבע ילדים לאחר שבלעו עצמים זרים * שניים מהילדים שוחררו בתוך כמה שעות, לאחר קבלת הטיפול * שני ילדים אחרים נזקקו לניתוחי חירום בשל חומרת מצבם

מיום שבת הובאו אל מלר"ד ביה"ח הציבורי אסותא אשדוד, בזה אחר זה, בנפרד, ארבעה ילדים בני 7, 4, 10 ו-6 כשהם סובלים מאי שקט ומהקאות. בבדיקות נמצא שלכולם סיפורים דומים: בליעת עצמים זרים. כמה מהם בלעו חלקי משחק, שרשראות ומגנטים ושניים מהם בלעו מטבעות כסף. יש להדגיש כי מדובר במקרים נפרדים.
המקרים האלה מצטרפים למקרה אחר של ילד בן 6 שמאושפז מיום שבת במחלקת טיפול נמרץ של ביה"ח לאחר שנחנק מבליעת סוכריה.
בשניים מן המקרים לא היה צורך בהתערבות ניתוחית, ולאחר טיפול מתאים, העצמים הזרים נפלטו באופן טבעי והילדים שוחררו לבתיהם.
לעומתם, בצילומי רנטגן בילדה בת 7, נמצא כי חלקי המשחק שבלעה התמקמו במעי וגם לאחר 72 שעות טיפול לא הייתה התקדמות בניסיונות לחלץ את חלקי המשחק מגופה ולא נראתה אפשרות ליציאה באופן טבעי.
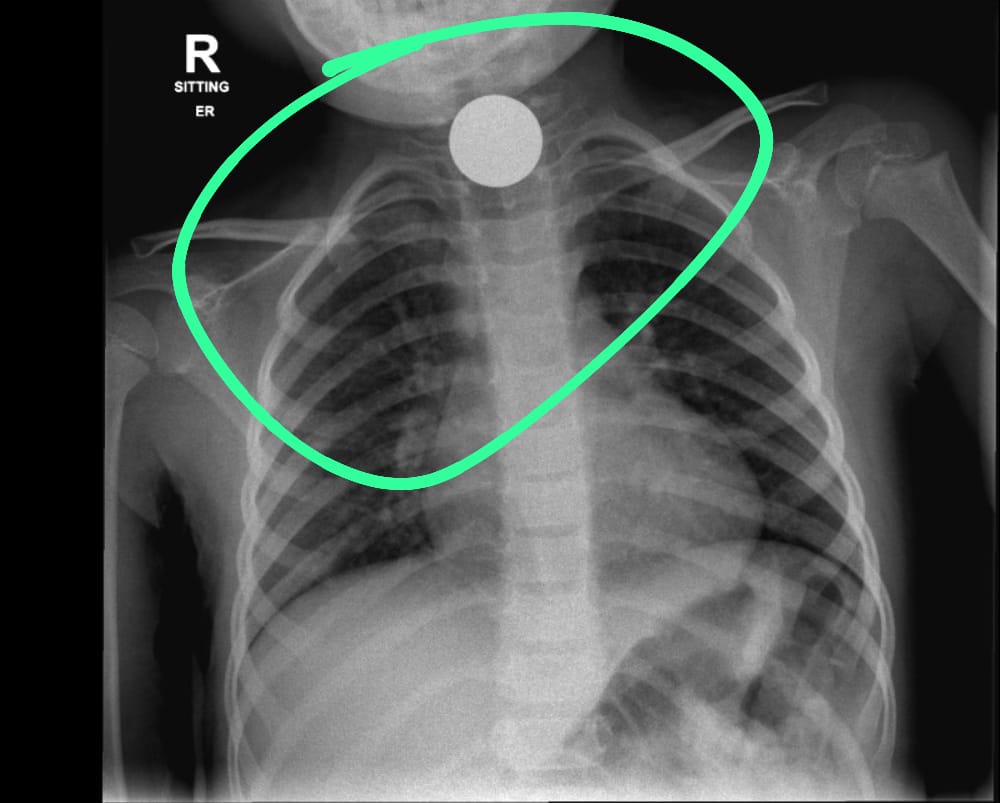
במקרה אחר, הובאה ילדה בת 4 אל בית החולים ובצילום רנטגן נמצאו בוושט של הילדה מטבעות כסף שגרמו לדחיקה של קנה הנשימה , דבר שמנע מהילדה לנשום כראוי.

לאחר התייעצות רפואית עם רופאים ממחלקות שונות בבית החולים הציבורי אסותא אשדוד – בהם ד"ר חני טאף אולברסטון מנהלת היחידה לגסטרואנטרולוגיה ילדים, ד"ר שרון אבנת תמיר מנהלת מחלקת אאג/ניתוחי ראש צוואר ועם רופאים בכירים נוספים, הוחלט כי יש צורך בניתוחים דחופים כדי למנוע סכנה לחייהם של שני הילדים.
הניתוח הראשון, של הילדה בת ה 4, נעשה אמש (יום ג) בשעות אחה"צ בראשותם של ד"ר עופר גליק וד"ר ירדן טננבאום ממחלקת א.א.ג/ניתוחי ראש צוואר; הניתוח השני, של הילדה בת ה 7, נעשה הבוקר (יום ד) על ידי ד"ר חני טאף. לשמחת כולם, הניתוחים הסתיימו בהצלחה. מטבעות הכסף וחלקי המשחק הוצאו בשלמותם והילדות הועברו להמשך טיפול והשגחה במחלקת הילדים של ביה"ח הציבורי אסותא אשדוד.

ד"ר חני טאף אוליבסטון, מנהלת היחידה לגסטרואנטרולוגיה ילדים בביה"ח הציבורי אסותא אשדוד: "לצערי, בחודשים האחרונים, אנחנו רואים עלייה גדולה במספר הפניות לבתי החולים בעקבות משחק ובליעה של חלקי משחק מגנטים. עד כה, לאחר טיפול מתאים, הילדים יוצאים מבית החולים כשהם בריאים ושלמים. אבל, לנוכח התגברות המקרים האלה, אנו חוששים כי ניאלץ להתמודד עם מקרים קשים יותר. האם אני קוראת להורים שלא להכניס הביתה משחקי מגנט ? התשובה היא, חד משמעית, כן ! ההגנה הטובה ביותר היא מניעה, ואסור לנו להמתין למקרה טראגי כדי להתעורר"
ד"ר שרון אבנת תמיר: "אני פונה לכל ההורים ומבקשת להזהירם: כאשר מדובר בילדים קטנים, כל דבר קטן שהם מכניסים לפיהם, יכול להישאף לריאות או להיבלע ולהיתקע בוושט. הרחיקו זאת מידיהם".
ד"ר נילי ינאי, רופאת ילדים בכירה במלר"ד ילדים, המעניקה לילדים את הטיפולים הראשונים בהגיעם לבית החולים:: "שאיפת גוף זר מסכנת חיים! ילדים קטנים לומדים את העולם ונוטים להכניס כל דבר לפה. עלינו ההורים לגלות ערנות ולמנוע משחק בחלקים קטנים שאינם תואמים לגילם. גם כאשר מדובר במזון, יכולת הלעיסה והבליעה של ילדים עד גיל 5 שנים אינה מפותחת כמו אצל מבוגרים ויש להם נטייה לשאוף לקנה הנשימה במקום לוושט. חשוב מאוד לשים לב לצורת המזון, למרקמו ולגודלו.
מעוניינים להגיב? לדווח ? צרו איתנו קשר במייל -[email protected]
