נער בן 16 מאושפז במצב קשה, על פי החשד לאחר שימוש בסיגריות אלקטרוניות

$(function(){ScheduleRotate([[function() {setImageBanner('bee23e5f-e062-4a8c-b237-dc5421207cb8','/dyncontent/2026/1/7/d00272ca-f4d8-4d5c-99e1-6b731a699027.jpg',20699,'לרגעים חמים במיוחד!',525,78,true,50817,'Image','');},15],[function() {setImageBanner('bee23e5f-e062-4a8c-b237-dc5421207cb8','/dyncontent/2025/12/23/ff5d60f1-b7cf-40c1-ad6d-1bf127e4d936.gif',20644,'אשדוד נדלקת',525,78,true,50817,'Image','');},15],[function() {setImageBanner('bee23e5f-e062-4a8c-b237-dc5421207cb8','/dyncontent/2026/1/26/d087b2b3-7dd6-4634-9043-53102d89a471.jpg',20487,'אשדוד. עיר שכיף לחיות בה',525,78,true,50817,'Image','');},15],[function() {setImageBanner('bee23e5f-e062-4a8c-b237-dc5421207cb8','/dyncontent/2026/1/16/8ec32971-b468-479b-bbca-b66cf4a692ce.jpg',20249,'תלמדו מהמספרים!',525,78,true,50817,'Image','');},15]]);})

נער בן 16 מאושפז במרכז שניידר לרפואת ילדים, כשהוא מחובר למכונת אקמו המדמה את פעילות הלב והריאות. אמו מבקשת מההורים למנוע מילדיהם שימוש בסיגריות אלקטרוניות

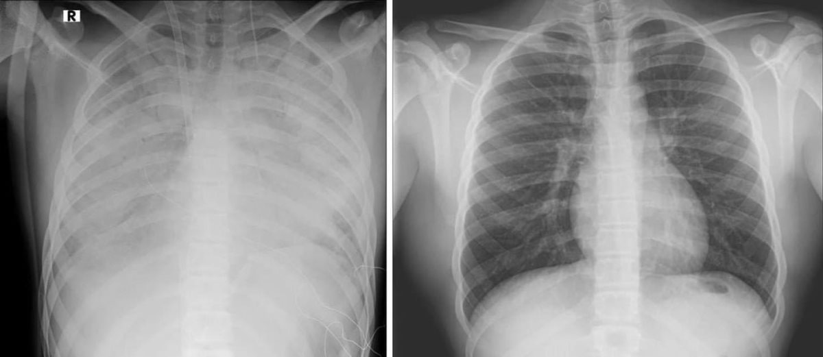
בתמונה: מימין צילום ריאות תקין, משמאל ריאותיו של הנערנער בן 16 מאושפז במרכז שניידר במצב קשה עם קריסה של הריאות לאחר שימוש בסיגריות אלקטרוניות. הנער הובהל ליחידה לטיפול נמרץ לב, שם הוא מאושפז בהכרה ומחובר למערכת האקמו, המחליפה את פעילות הלב והריאות - כך מפרסמים הבוקר כתבי אתר ויינט, רענן בן צור וגד ליאור.

אמו של הנער מסרה כי היא מבקשת להתפלל לשלומו ומייחלת לכך שיתאושש ויחזור לעצמו. היא ביקשה מכל ההורים להיות עירניים לנושא ולאסור על ילדיהם להשתמש בסיגריות אלקטרוניות, כדי שלא להגיע למצב הנוראי בו הם נמצאים כרגע.

הנער הועבר למרכז שניידר מבית החולים קפלן, לאחר שריאותיו קרסו. מבירור רפואי מקיף שערכו בבית החולים קפלן עלה כי מצבו הידרדר כתוצאה מעישון של סיגריות אלקטרוניות.

פרופ' עובדי דגן, מנהל היחידה לטיפול נמרץ לב בשניידר, מסר: "הנער התקבל ליחידה לטיפול נמרץ לב במצב קשה מאד כשריאותיו אינן מתפקדות, והוא זקוק לתמיכה מלאה של מכשיר אקמו. אנו מטפלים בו ומקווים מאוד לשיפור במצבו בימים הקרובים. הנזק שנגרם, ככל הנראה, מעישון של הסיגריות האלקטרוניות הוא נזק עצום. אנו קוראים לכל ההורים, מנעו את המקרה הבא".
.
לפי נתונים שהציגו ארגוני בריאות, בין השנים 2021 ל-2022 התרחבה דרמטית תופעת התחלת העישון של בני נוער בשיעור של 13.7% בקרב בני 12-14 בשנת 2022, אל מול 3.4% בשנת 2021. בנוסף, שיעור העישון היומי בקרב בני 15-17 יותר מהכפיל את עצמו בארבע השנים האחרונות, מ-4.7% בשנת 2019 ל-9.8% מעשנים יומיים ב-2022.

מעוניינים להגיב? לדווח ? צרו איתנו קשר במייל -[email protected]


$(function(){ScheduleRotate([[function() {setImageBanner('a5951a1c-715b-434e-8e97-60012ff6649c','/dyncontent/2026/1/16/8ec32971-b468-479b-bbca-b66cf4a692ce.jpg',20249,'תלמדו מהמספרים!',525,78,true,50819,'Image','');},15],[function() {setImageBanner('a5951a1c-715b-434e-8e97-60012ff6649c','/dyncontent/2026/1/26/d087b2b3-7dd6-4634-9043-53102d89a471.jpg',20487,'אשדוד. עיר שכיף לחיות בה',525,78,true,50819,'Image','');},15]]);})
 
 
pikud horef
פיקוד העורף התרעה במרחב אשדוד 271, אשדוד 271, אשדוד 271
פיקוד העורף מזכיר: יש לחכות 10 דקות במרחב המוגן לפני שיוצאים החוצה