היועץ הרפואי מזהיר: אל תעלו על קורקינט
11.08.25 / 11:36
בעקבות המקרים הרבים שגודשים את בתי החולים כאשר ילדים ומבוגרים סובלים משברים קשים לאחר שנסעו בקורקינט מזהיר היועץ הרפואי הרב יעקב שקול: אל תעלו על הכלי המסוכן

קורקינט? לא לכל אחד: לאחר שטיפל רק במהלך ימי החופשה הנוכחית בעשרות מקרים קשים שבהם סובלים ילדים ומבוגרים מפציעות קשות בעקבות נסיעה בקורקינט חשמלי - יוצא היועץ הרפואי הרב יעקב שקול, יו"ר 'אשכולות', בקריאה מיוחדת: אל תעלו על הכלי המסוכן מבלי שתהיו מודעים להשלכות הקשות.
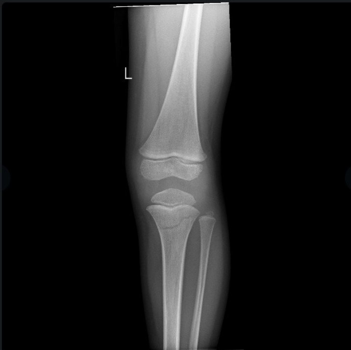
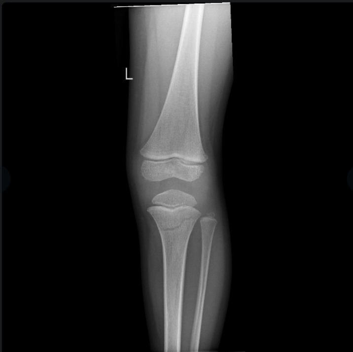
את קריאתו מגבה היועץ הרפואי בתמונות של שברים אמיתיות מהיממה האחרונה. "לא כדי להפחיד, אלא כדי להזכיר: החיים שווים הרבה יותר מהרגע המסוכן הזה".
את הרקע לקריאתו החריגה מנמק הרב שקול בכך ש"ב־48 השעות האחרונות אנו עדים לעלייה חדה ומדאיגה במספר מקרי השברים. מדובר בילדים רכים בני שנה, בני נוער, ועד מבוגרים – כולם נפגעים בכלים דו-גלגליים, טרמפולינות, מתנפחים ופעילויות קיץ שונות. בתי החולים מתמלאים, תורים לניתוחים ושיקומים מתארכים, והכאב – פיזי ונפשי – מלווה את הפצועים ובני משפחותיהם לאורך זמן".

נציין כי הרב שקול אינו היחיד. בכל שנה קוראים מנהלי המחלקות האורתופדיות בבתי החולים והם מזהירים מפני תופעת הפגיעה מהקורקינטים החשמליים, שלדבריהם גורמים לגודש במחלקות ו"נערים צעירים יוצאים עם נכות לכל החיים".
הרב שקול מצביע על הסכנות העיקריות ועל המפגעים שגרמו כבר בימי החופשה הנוכחית לעשרות מקרים קשים:
נסיעה מהירה על קורקינט או אופניים חשמליים ללא קסדה
קפיצות בטרמפולינה או מתנפחים ללא פיקוח
חוסר מודעות לסיכונים סביבתיים – מהמורות, כלי רכב, מכשולים
בהתייחסו לתמונות השברים אותן הציג הוא אומר "כל תמונה של שבר היא סיפור של חיים שנעצרו בבת אחת – ניתוחים, גבס, שיקום ממושך, כאבים בלתי פוסקים ואובדן שגרה. תראו לעשות הכל, בעיקר המבוגרים, בכדי שלא להגיע לרגעים הללו חלילה".
מעוניינים להגיב? לדווח ? צרו איתנו קשר במייל -[email protected]
